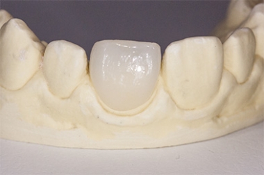
Veneers für natürlich aussehende Zähne
Unregelmäßigkeiten, Verfärbungen oder Beschädigungen im Frontzahnbereich lassen sich mit Veneers, substanzschonend ausgleichen. Der beschädigte Zahn wird nur minimal präpariert, um die filigranen, dem Zahn in Form und Farbe naturgetreu nachempfundenen Keramikschalen zu befestigen. Veneers sind dünne, lichtdurchlässige, keramische Verblendschalen, die die Lichttransmision, eine besondere Eigenschaft von Keramik nutzen. 
Veneers für natürlich aussehende Zähne. Licht kann wie bei natürlichen Zähnen durch die Restauration durchscheinen. Veneers werden bevorzugt als eine substanzschonende Variante für kosmetische Korrekturen im Frontzahnbereich eingesetzt. Ihre natürliche Transparenz, Verblendschalen können so dünn wie Kontaktlinsen sein, macht eine individuelle Farbanpassung möglich. Sie können starke Zahnverfärbungen überdecken und Fehlstellungen korrigieren. Für die Befestigung der Verblendschalen soll möglichst wenig Zahnsubstanz abgeschliffen bzw. beschädigt werden. Die Schalen werden mit einem besonderen Kleber auf der Zahnoberfläche befestigt.

